Меню
Закрыть

В Ульяновске хирурги применили лазер для удаления камня из почки

Уникальную операцию провели врачи

Фото: Минздрав Ульяновской области
Фото: Минздрав Ульяновской области

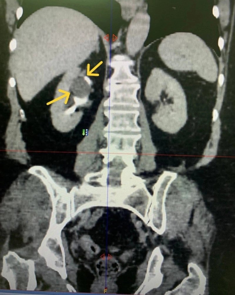
В Ульяновске 11 ноября врачи областного клинического центра специализированных медицинских услуг успешно завершили редкую хирургическую операцию. Урологи удалили одновременно камень и кисту из почки пациентки, страдающей мочекаменной болезнью.

Во время медицинского обследования женщины, которая обратилась в клинику с проблемами, связанными с камнями в почках, выявили парапельвикальную синусовую кисту. Она затрудняла естественный выход камня из верхней чашечки почки, что требовало срочного вмешательства. В ходе операции врачи использовали метод контактного лазерного дробления для удаления камня из мочеточника, одновременно устранив стенку кисты и освободив ее содержимое.

Операция длилась 40 минут и прошла без осложнений. По данным Министерства здравоохранения региона, ранее подобные процедуры выполнялись в основном в крупных медицинских учреждениях, расположенных в Москве и Санкт-Петербурге. Теперь высокотехнологичная помощь доступна и для жителей Ульяновской области.

Через четыре дня после операции пациентку выписали из стационара с рекомендацией продолжить лечение в амбулаторных условиях. Для контроля ее состояния назначено повторное обследование через восемь недель после хирургического вмешательства.

По словам заведующего урологическим отделением центра Александра Шмырина, многие кисты почек могут протекать бессимптомно, однако нередко они вызывают дискомфорт и болевые ощущения. Для ранней диагностики заболеваний он призвал людей регулярно проходить обследования, что поможет своевременно выявить возможные патологии и избежать серьезных последствий для здоровья.

Успешное вмешательство в Ульяновске показывает высокий уровень медицинской помощи в регионе и подтверждает готовность врачей использовать передовые технологии для решения сложных заболеваний. Хирургическая операция не только помогла пациентке избавиться от неприятных симптомов, но и стала ярким примером квалифицированной помощи урологов.